症例集
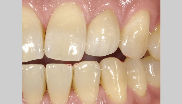
ラミネートベニア

Before

After
| 年齢 | 20代・女性 |
|---|---|
| 要望 | 他院にて装着したラミネートベニアの脱離により来院 |
治療の流れ
-
測色装着した際、自然になるように患者様ご自身の歯の色を測定します。
-
擬似模型作成比色用に擬似模型を作成し、歯の色をチェックします。
-
仮付け来院が可能だったため着色前に試適を行い適合確認形態についてディスカッションした結果、上顎①②間の下部鼓形空隙を可及的に埋めてブラックトライアングルが出現しないよう形態修正を行いました。
-
完成下部鼓形空隙と歯頸部のわずかなレスカントゥアーを修正しセットしました。
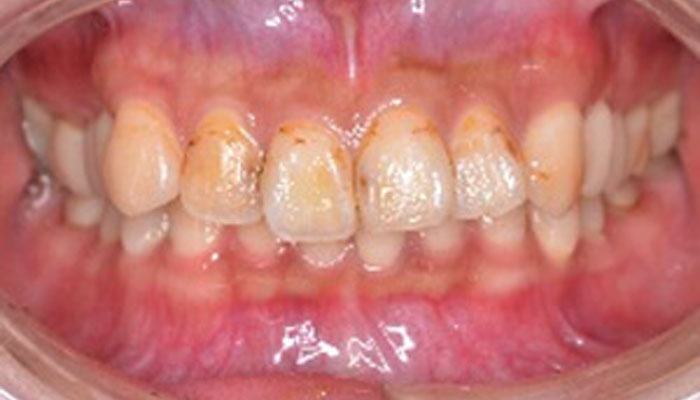
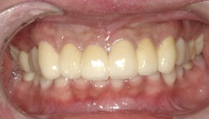
カリエスと審美障害

Before

After
| 年齢 | 20代・女性 |
|---|---|
| 要望 | 虫歯による歯の見た目の劣化 |
治療の流れ
-
土台の形成(支台歯形成)補綴物を被せるために歯を整えます。
-
仮歯への置き換え補綴物の完成まで、仮歯で補います。
-
模型の作成石膏模型を作成し、審査診断します。
-
ジルコニアフレームのデザインテック印象模型にフレームデザインを印記しジルコニアフレームを発注。
-
厚みとフレームのチェックジルコニアフレームの適合確認と、ポーセレンパウダーの厚みスペースイメージを濃淡で目視するためのワックスを使います。
-
完成わずかに色味を白くし過ぎてしまったため、患者様と相談の上で暖色系の色味を追加して完成。ご満足いただくことができました。
